∥ admin
∥
高齢犬や老犬の身体的変化、介護やケア対策、病気やケガ、そして食事や散歩など高齢犬や老犬のこれからしなけらばならない対策などをまとめてみました。さらに、高齢犬や老犬と一緒に泊まれる宿泊施設やペットショップなども掲載しています。
高齢犬・老犬の骨・関節の病気
高齢犬・老犬は骨折したり、脱臼をおこしやす動物です。
骨折は事故が原因で起こる事がほとんどですが、脱臼は遺伝性のものから肥満などの体重増加が原因で発病することもある高齢犬・老犬特有の病気といえます。
【骨折】
加齢に伴う病気
●高齢犬・老犬の病気も進化している‥‥‥‥‥‥‥詳細を見る>>
●高齢犬・老犬がかかるガン(悪性腫)‥‥‥‥‥‥詳細を見る>>
●高齢犬・老犬がかかりやすい目の病気‥‥‥‥‥‥詳細を見る>>
●高齢犬・老犬の口腔の病気‥‥‥‥‥‥‥‥‥‥‥詳細を見る>>
●高齢犬・老犬の鼻の病気‥‥‥‥‥‥‥‥‥‥‥‥詳細を見る>>
●高齢犬・老犬の呼吸器の病気‥‥‥‥‥‥‥‥‥‥詳細を見る>>
●高齢犬・老犬の心臓の病気‥‥‥‥‥‥‥‥‥‥‥詳細を見る>>
●高齢犬・老犬の肝臓の病気‥‥‥‥‥‥‥‥‥‥‥詳細を見る>>
●高齢犬・老犬の腎臓の病気‥‥‥‥‥‥‥‥‥‥‥詳細を見る>>
●高齢犬・老犬の膀胱・尿道の病気‥‥‥‥‥‥‥‥詳細を見る>>
●高齢犬・老犬の生殖器の病気‥‥‥‥‥‥‥‥‥‥詳細を見る>>
●高齢犬・老犬の骨・関節の病気‥‥‥‥‥‥‥‥‥詳細を見る>>
●高齢犬・老犬の消化器系の病気‥‥‥‥‥‥‥‥‥詳細を見る>>
●高齢犬・老犬の皮膚の病気‥‥‥‥‥‥‥‥‥‥‥詳細を見る>>
●高齢犬・老犬の感染症予防‥‥‥‥‥‥‥‥‥‥‥詳細を見る>>
●高齢犬・老犬の寄生虫による病気‥‥‥‥‥‥‥‥詳細を見る>>
サイト全体を見るなら‥‥‥サイトマップ>>
高齢犬・老犬は骨折したり、脱臼をおこしやす動物です。
骨折は事故が原因で起こる事がほとんどですが、脱臼は遺伝性のものから肥満などの体重増加が原因で発病することもある高齢犬・老犬特有の病気といえます。
高齢犬・老犬がかかりやすい骨・関節の病気
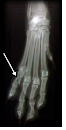
高齢犬・老犬の骨折のほとんどは、交通事故や高いところから飛び降りたり、落下したりして起きます。また病気などで骨がもろくなりおこることもあります。
骨折すると痛みや患部の腫れがおこり、歩行異常などいくつかの症状が同時にあらわれます。
散歩の途中などで飼い主の見ていないすきに、無理をしてしまうケースも考えられます。愛犬が立ち止まり不安な動き、鳴き声をあげるなど普段と違った行動を取った時、飼い主は体全体を優しく触って調べましょう。
歩行が困難だと判断した場合は、足を曲げずに抱きかかえて様子を見ます。痛みなどが激しい場合は、骨折やねん挫などが考えられるので、かかりつけの獣医師に相談しましょう。
皮膚をやぶって骨が飛び出している場合を解放骨折、内部で起きている場合を閉鎖骨折といいます。解放骨折の場合、清潔なガーゼと包帯で保護し、軽い板や新聞紙などを丸めてその上から脱脂綿などを巻いたもので強く締め付けないように固定します。速やかに獣医師に診てもらいましょう。
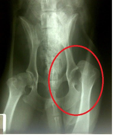
【脱臼】
関節を構成している骨同士が正常な場所からずれてしまう状態のことをいいます。
高齢犬・老犬に多いのが大腿骨の付け根部分に起こる股関節の脱臼とひざのお皿がずれておこる膝蓋骨の脱臼です。
急に足を引きずったり、足をあげたりして歩くようになります。痛みのある様子も見せます。いつもと様子がおかしいと思ったら獣医師に相談することをおすすめします。
そのまま放置していると脱臼から骨折に発展することもありますから。
骨折すると痛みや患部の腫れがおこり、歩行異常などいくつかの症状が同時にあらわれます。
散歩の途中などで飼い主の見ていないすきに、無理をしてしまうケースも考えられます。愛犬が立ち止まり不安な動き、鳴き声をあげるなど普段と違った行動を取った時、飼い主は体全体を優しく触って調べましょう。
歩行が困難だと判断した場合は、足を曲げずに抱きかかえて様子を見ます。痛みなどが激しい場合は、骨折やねん挫などが考えられるので、かかりつけの獣医師に相談しましょう。
皮膚をやぶって骨が飛び出している場合を解放骨折、内部で起きている場合を閉鎖骨折といいます。解放骨折の場合、清潔なガーゼと包帯で保護し、軽い板や新聞紙などを丸めてその上から脱脂綿などを巻いたもので強く締め付けないように固定します。速やかに獣医師に診てもらいましょう。
関節を構成している骨同士が正常な場所からずれてしまう状態のことをいいます。
高齢犬・老犬に多いのが大腿骨の付け根部分に起こる股関節の脱臼とひざのお皿がずれておこる膝蓋骨の脱臼です。
急に足を引きずったり、足をあげたりして歩くようになります。痛みのある様子も見せます。いつもと様子がおかしいと思ったら獣医師に相談することをおすすめします。
そのまま放置していると脱臼から骨折に発展することもありますから。
加齢に伴う病気
●高齢犬・老犬の病気も進化している‥‥‥‥‥‥‥詳細を見る>>
●高齢犬・老犬がかかるガン(悪性腫)‥‥‥‥‥‥詳細を見る>>
●高齢犬・老犬がかかりやすい目の病気‥‥‥‥‥‥詳細を見る>>
●高齢犬・老犬の口腔の病気‥‥‥‥‥‥‥‥‥‥‥詳細を見る>>
●高齢犬・老犬の鼻の病気‥‥‥‥‥‥‥‥‥‥‥‥詳細を見る>>
●高齢犬・老犬の呼吸器の病気‥‥‥‥‥‥‥‥‥‥詳細を見る>>
●高齢犬・老犬の心臓の病気‥‥‥‥‥‥‥‥‥‥‥詳細を見る>>
●高齢犬・老犬の肝臓の病気‥‥‥‥‥‥‥‥‥‥‥詳細を見る>>
●高齢犬・老犬の腎臓の病気‥‥‥‥‥‥‥‥‥‥‥詳細を見る>>
●高齢犬・老犬の膀胱・尿道の病気‥‥‥‥‥‥‥‥詳細を見る>>
●高齢犬・老犬の生殖器の病気‥‥‥‥‥‥‥‥‥‥詳細を見る>>
●高齢犬・老犬の骨・関節の病気‥‥‥‥‥‥‥‥‥詳細を見る>>
●高齢犬・老犬の消化器系の病気‥‥‥‥‥‥‥‥‥詳細を見る>>
●高齢犬・老犬の皮膚の病気‥‥‥‥‥‥‥‥‥‥‥詳細を見る>>
●高齢犬・老犬の感染症予防‥‥‥‥‥‥‥‥‥‥‥詳細を見る>>
●高齢犬・老犬の寄生虫による病気‥‥‥‥‥‥‥‥詳細を見る>>
サイト全体を見るなら‥‥‥サイトマップ>>
PR
あし@
アクセス解析
